Implantologia

Denti fissi su impianti

Vuoi tornare ad una dentatura completa?

Se vuoi risolvere i problemi dentali e tornare ad avere una dentatura completa per sorridere e masticare in sicurezza, continua pure a leggere!

Impianti dentali
a Vigonza (PD)

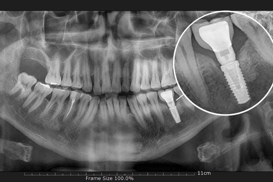
L'impianto dentale consiste nella sostituzione della radice naturale del dente mancante con una vite in titanio inserita nelle ossa mascellari. All'impianto è applicato un perno moncone che sostiene la corona avvitata o cementata; in questo modo viene ricreato il dente nella sua struttura interna ed esterna.

Grazie alla implantologia a carico immediato, il paziente può tornare subito (24/48 ore dall'intervento) alla normale quotidianità con i denti provvisori.

Prenota un consulto implantologico gratuito con Studi Dentistici Associati di Vigonza.
Telefona o compila il modulo per essere ricontatto!

Sostituzione denti mancanti

Dopo la perdita di un dente rimane un buco nell’osso della mascella, che si rigenera completamente e si chiude dopo 2/3 mesi; però, il punto nell’osso in cui si trovava la radice del dente si assottiglia e nel tempo ciò provoca in quel settore una progressiva perdita dell’osso stesso.
Quindi, è estremamente importante sostituire tempestivamente i denti mancanti con impianti dentali, sia singoli sia a gruppi, non solo per ripristinare la funzionalità masticatoria ma anche per evitare problemi ai denti naturali ancora presenti.

rasaerba robotizzato

Specializzazione in implantologia a Vigonza

Con l'ausilio di tecnologie moderne computerizzate gli specialisti di Studi Dentistici Associati di Vigonza studiano e simulano l’inserimento dell’impianto su una copia digitale delle arcate dentarie, garantendo un servizio quindi preciso e duraturo nel tempo.

Il perno moncone viene realizzato grazie precise tecniche CAD/CAM.
Per la corona, invece, una macchina robotizzata segue con precisione forme e misure stabilite nella simulazione, utilizzando diversi strati di ceramica per ottenere un risultato eccellente in tutti gli aspetti.

Studi Dentistici Associati è a disposizione per illustrarti l'ITER per l'intervento implantologico e per INFORMAZIONI tecniche.

Attraverso un’anamnesi completa ti verrà proposta la soluzione protesica più adatta a te, anche in base alle tue possibilità economiche.

Compila il modulo per essere ricontatto telefonicamente!

sostituzione denti mancanti a vigonza

Iter intervento impianti dentali

  • PRIMA VISITA CON SOLUZIONE 100% PERSONALIZZATA. Consulenza per valutazione tecnica ed economica dell'intervento.
  • INTERVENTO CON MASSIMA PROFESSIONALITA'. Professionisti qualificati, materiali certificati CE, tecniche e strumenti di ultima generazione.
  • TERAPIA SENZA DOLORE grazie alla sedazione cosciente.
  • PROTESI A CARICO IMMEDIATO. Dopo l'inserimento degli impianti (24/48 dall'intervento) è possibile installare una protesi provvisoria.
  • ASSISTENZA per ogni tuo bisogno post operatorio.
  • PROTESI DEFINITIVA. Rimozione protesi provvisoria e applicazione protesi definitiva.

Compila il modulo per essere ricontatto telefonicamente!

impianti arcata dentale
modello impianto dentale

Informazioni impianti dentali

Di seguito alcune interessanti informazioni sugli impianti dentali:

  •  BIOCOMPATIBILI. Il nostro corpo li accetta come propri e non vi è alcun rigetto.
  • ANCHE IN PRESENZA DI POCO OSSO. Mediante un innesto chirurgico di bio-materiale si può aumentare il volume e la qualità dell’osso al fine di rendere possibile un impianto, grazie alla rigenerazione.
  • INDISTRUTTIBILI. Sono composti di titanio e in termini di resistenza alla compressione e alla trazione sono più forti dell'acciaio.
  • DIVENTANO RADICI DEI DENTI. Quando viene installato un impianto è come se avessi di nuovo dente e radice.
  • NON SI CARIANO.
  • MANTENGONO LA FORMA NATURALE DEL VOLTO. Se il dente estratto non viene sostituito la gengiva si ritira e di conseguenza, col passare del tempo, anche l'osso. I denti sani si spostano verso lo spazio libero e la forma del volto cambia.
radiografia impianto dentale in titanio